pynkocean.com
HOME
About
Contact
Disclaimer
Privacy
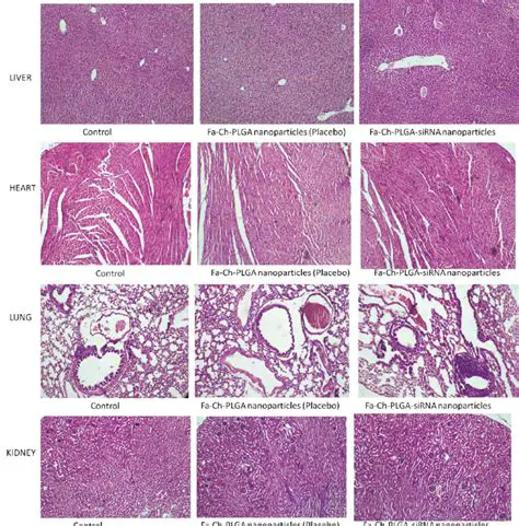
Histopathological Analysis
Oct 13, 2025
by pynkocean.com
58
views